本文转自“生物探索”
导语:中国65岁以上的老年人帕金森病患病率为1.7%,中国的帕金森病病人数量或超300万。随着人口老龄化加剧,中国可能成为帕金森病人口的世界第一大国。在医学研究方面,由于缺乏帕金森病研究的模型系统,尚不清楚帕金森病的发生和发展,也没有治愈的方法。因此,尽快建立研究模型,对帕金森病的研究至关重要。
帕金森病(Parkinson's disease,PD)是一种神经退行性疾病,在中脑多巴胺能(Dopaminergic neurons,DA)神经元内有一个主要病理改变,涉及错误折叠的α-突触核蛋白(Alpha-synuclei,αSYN)的聚集。由于缺乏适当的模型系统特别是能捕捉到年龄要素的模型系统,医学对PD发病机制的理解不足,目前尚不清楚PD的发生和发展,也没有治愈的方法。
大多数PD病例具有特发性,加上发病年龄较晚,为设计和解释特发性PD模型带来了严峻挑战,使PD的病理生理学研究复杂化。诱导多能干细胞(Induced pluripotentstem cells,iPSC)几乎可以分化为所有类型的人体细胞,因此iPSC也被用于研究帕金森病。iPSC可在重编程的过程中从患者皮肤产生胚胎样细胞,为实验室疾病建模开辟了新途径。然而,这种技术的一个缺点是,供体的年龄特异性细胞特征在重新编程过程中会被删除,因此由iPSC制成的细胞通常类似于人类胚胎或胎儿中的细胞,而不是成人或老年人个体中的细胞。然而,像PD这样的神经退行性疾病主要影响老年人,因此难以用iPSC衍生的神经元进行建模,因为这些神经元缺乏许多老年神经元的定义特征如:与年龄相关的表观遗传时钟、转录组和microRNA、活性氧水平、DNA损伤和端粒长度以及代谢谱和线粒体缺陷。为了解决这个问题,科学家们一直在进行探索。
2022年9月22日,加拿大蒙特利尔大学、英国剑桥大学和瑞典隆德大学研究团队在Stem cell Reports发表题为“Age-related pathological impairments in directly reprogrammeddopaminergic neurons derived from patients with idiopathic Parkinson’s disease”的研究成果(图1)[1]。研究结果表明从成人皮肤成纤维细胞中可生成功能性神经元,这些神经元保留了年龄特异性,并可用作细胞模型来研究与PD相关的病理学。

图1研究成果(图源:[1])
保留神经元老化特征的一种方法是直接从患者的皮肤中制造神经元,而不需要iPSC中间体。在此项研究中,研究人员通过将神经诱导基因的特定组合引入成人皮肤成纤维细胞(adult human dermal fibroblasts,aHDF),成功地将PD患者的皮肤细胞转化为诱导神经元(induced neurons,iN)--在PD中逐渐丧失的DA神经元(图2)。

图2图形概要(图源:[1])
结果发现:
01与从iPSC生成的细胞相比,直接从皮肤细胞生成DA神经元的过程保留了供体年龄的老化遗传、表观遗传和代谢特征
当检测不到与疾病相关损伤的亲代aHDF被重编程并转化为DA神经元时,无法在生成的DA神经元中检测到损伤。这表明,aHDF的直接转化在保持供体年龄相关方面,提供了一个基于细胞的特发性PD模型;此外,细胞模型显示来自不同患者的iN受损程度不同:损伤程度在一定程度上与供体年龄、PD发病年龄和MAPT(Microtubule-associatedprotein tau)单倍型相关。这种年龄和遗传变异对疾病病理学的影响以前没有在细胞模型中得到反应,这表明直接转化为iDAN可用于迟发性神经退行性疾病的鉴别诊断、药物筛选和疾病建模,同时还可以捕捉异质性临床上明显的疾病。
02与来自健康皮肤供体的老年DA神经元相比,来自PD患者的神经元具有PD特异性细胞缺陷
与健康供体相比,不同患者来源的iN中应激诱导的自噬发生了变化。研究发现通过抑制自噬体与溶酶体的融合来阻断自噬通量会导致pSer129αSYN在PD-iNs和PD-iDANs中积累。这些自噬-溶酶体功能的损害可能反映了PD患者群体中与溶酶体贮积症相关的基因变异存在的重要影响。最近的一项研究报告表明PD患者队列中超过一半的病例在溶酶体贮积症基因中含有一个或多个假定的破坏性变体,反映了这些变体可能以多重组合方式相互作用,以降解溶酶体。未来使用来自具有强遗传形式PD患者细胞系的研究,也将有助于了解在特发性PD细胞系中发现的表型,以及它们如何与家族性PD中不同的破坏途径相关。

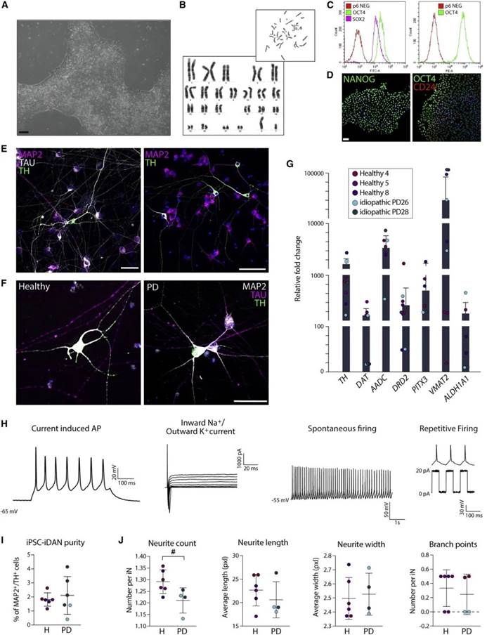
图3从健康供体和特发性PD患者的iPSC生成iDAN(图源:[1])
此项研究发现了一种特发性PD细胞模型,该模型使用REST敲低方法来实现aHDF中的神经元基因转录。这种新的直接重编程方法提高了iDAN在直接转换过程中的效率、亚型识别和功能成熟,从而可以在疾病建模、药物筛选和其他生物医学应用的规模上进行研究。与iPSC建模相比,该模型的劳动强度和成本效益要低得多,能够同时比较来自18名不同的特发性PD患者的iN。此外,它可在25天后仍保持供体的年龄特异性并反映病理变化。
虽然很难在根据发育原理形成的干细胞衍生神经元和直接转化的神经元之间进行精确的比较,但这两种模型系统都有各自的优点。供体细胞的老化特征在直接转化过程中保持不变,因为有丝分裂后的神经元是在没有增殖中间产物的情况下形成的。研究数据反映从成人皮肤成纤维细胞中生成的功能性神经元具有年龄特异性,从而能够对帕金森病的年龄相关方面进行建模。因此,未来使用这种细胞模型的研究将有助于深入了解帕金森病与年龄相关的病理学以及疾病亚型和可变进展的细胞基础,从而使我们能够更好地开发和评估新的治疗干预措施。

图4 JanelleDrouin-Ouellet(图源:蒙特利尔大学官网)
文章作者Janelle Drouin-Ouellet(图4)表示:“我的工作旨在设计一种对患者细胞进行直接细胞重编程的模型,以研究帕金森病的神经炎症成分,并最终确定新的药理学靶点。为此,样本将被重新编程为脑免疫细胞(或小胶质细胞),以了解它们如何随着疾病演变以及它们在神经元死亡中发挥什么作用。使用皮肤细胞的优势在于它们易于获取并且可以繁殖,这使我们能够建立与患者大脑具有相同遗传物质的细胞库。通过细胞重编程,可以获得显示出疾病迹象并保持供体年龄相关细胞特征的细胞。在超过90%的病例中,我们不知道患上帕金森病的原因,并且考虑到疾病原因或形式的潜在异质性 ,病人对药物的反应也将是异质的。我的目标是创建具有相同分子表达谱的人群亚群。在短期内,重编程模型的使用将有可能在进行临床研究和验证患者对治疗的反应之前改进患者的选择。有朝一日,可以从简单的皮肤或尿液样本中研究神经元对治疗的反应,并为每位患者找到最佳治疗方案。”
参考资料:
[1]JanelleDrouin-Ouellet, Emilie M. Legault, Fredrik Nilsson, et al. Age-relatedpathological impairments in directly reprogrammed dopaminergic neurons derivedfrom patients with idiopathic Parkinson’s disease. Stem cell Reports, 2022 Sep 22;DOI:https://doi.org/10.1016/j.stemcr.2022.08.010