阿尔茨海默病(AD),常被我们称为“老年痴呆”,是全球最常见的神经退行性疾病,也是痴呆症的首要病因。它像一块无声的橡皮擦,缓慢而残酷地擦去一个人的记忆、认知乃至人格。
更令人无奈的是,自一百多年前该病被发现以来,医学界普遍认为其进程是不可逆的。现有的药物大多只能暂时缓解症状或针对单一病理蛋白(如β淀粉样蛋白),效果有限,无法阻止或逆转疾病的发展。
然而,今天我们要解读的这项最新发表在《Cell Reports Medicine》上的重磅研究,却带来了颠覆性的希望。研究团队不仅成功在两种不同的小鼠阿尔茨海默病模型中,用药逆转了已进入晚期的疾病症状,让小鼠“重获新生”,更关键的是,他们在人类AD患者的大脑中,找到了与小鼠模型中一致的、潜在的治疗靶点!
在开头,我们先为大家简单罗列下本研究的重大亮点,在下文,我们将一一展开细说:
1. 挑战百年教条:首次提供证据表明,即使是晚期阿尔茨海默病,在病理和功能上都具有可逆的潜力。
2. 抓住核心机制:将疾病进展与大脑细胞内一种关键的代谢物——烟酰胺腺嘌呤二核苷酸(NAD+) 的稳态失衡直接挂钩。
3. 精准干预:使用一种名为 P7C3-A20 的化合物,在不“超标”的前提下恢复大脑NAD+稳态,从而修复大脑的“韧性”,实现全面康复。
4. 桥接人与鼠:研究不仅在动物模型中取得成功,还通过多组学分析,在人类阿尔茨海默病患者大脑中验证了相同的分子变化和潜在治疗节点,极大提升了临床转化的可能性。

一些研究背景——为何要盯着NAD+?
传统阿尔茨海默病(AD)研究聚焦于β淀粉样蛋白(Aβ)斑块和tau蛋白神经原纤维缠结这两大病理标志。但针对它们的疗法效果不尽如人意。本研究团队转换了思路:为什么有些人(如NDAN群体)大脑里有很多淀粉样斑块,却能保持认知正常?答案可能是他们大脑具有更强的 “韧性”。
这种韧性依赖于细胞的健康和修复能力,而NAD+是其中的核心角色。NAD+是细胞能量代谢(如线粒体呼吸)和多种关键修复过程(如DNA修复、抗压)的必需辅酶。既往研究发现AD模型脑中NAD+水平下降,但直接补充NAD+前体可能带来癌症风险。因此,本研究的核心目的变为:探究通过药物精确恢复大脑生理水平的NAD+稳态(而非简单提升),能否预防并逆转AD的病理进程和认知缺陷。

图:研究摘要
双管齐下,模拟人类疾病
为系统验证上述科学假设,研究采用了多层次、跨物种的严谨策略:首先,研究人员选用两种机制互补的转基因小鼠模型。
5xFAD小鼠:模拟淀粉样蛋白驱动的阿尔茨海默病(AD)。这类小鼠会早期产生大量Aβ斑块,并伴随tau蛋白异常磷酸化、血脑屏障破坏、神经炎症等一系列病理变化,出现明显的学习和记忆障碍。
PS19小鼠:模拟tau蛋白驱动的AD。这类小鼠过度表达突变的人类tau蛋白(P301S),形成类似人类的神经原纤维缠结,导致神经元死亡和认知衰退。
研究的药物是 P7C3-A20,它是一种神经保护化合物,被证实能通过激活NAD+合成途径中的限速酶,安全地恢复细胞内的NAD+稳态,而不会使其超过生理水平。
实验设计了以下几个关键阶段:
1. 预防性治疗:在5xFAD小鼠症状出现前(2月龄)开始给药,直至症状初显(6月龄),观察能否阻止疾病发生。
2. 逆转性治疗:在5xFAD小鼠已出现全面病理和认知缺陷的“晚期”阶段(6月龄)开始给药,直至老年(12月龄),观察能否让疾病“倒退”。
3. 晚期tau模型验证:在濒死的、症状严重的PS19小鼠(11月龄)中开始短期治疗,检验效果是否普适。
在整个实验过程中,研究人员对小鼠进行了全面的评估:包括行为学测试(新物体识别、水迷宫、转棒等)评估认知和运动功能;生化分析检测NAD+水平、Aβ和tau蛋白;组织染色观察斑块、神经元存活、神经炎症、血脑屏障完整性、DNA损伤和氧化应激;蛋白质组学分析海马体的全局蛋白变化;以及细胞实验验证药物对氧化应激下的人脑微血管内皮细胞的保护作用。
NAD+稳态失衡是阿尔茨海默病严重程度的“标尺”
研究人员发现,在5xFAD小鼠和人类AD患者的大脑中,NAD+/NADH比率(反映NAD+稳态)均显著下降,例如,与对照组相比,AD患者脑组织的NAD+/NADH比值显著降低约30%。并且,其下降程度与tau病理、氧化损伤、神经炎症、血脑屏障破坏和神经元丢失的严重程度高度正相关。

图:P7C3-A20可恢复老年症状性5xFAD小鼠的脑NAD+稳态、认知功能及突触可塑性
更重要的是,那些具有AD病理却认知正常的个体(NDAN),其大脑中NAD+合成酶基因的表达水平与健康人相似,而AD患者则出现紊乱。这一结果令研究人员十分兴奋,因为这强烈暗示——NAD+稳态的破坏是驱动AD临床表型的关键环节,而维持这种稳态或就是大脑抵御疾病的内在韧性所在!
P7C3-A20成功预防并逆转了晚期AD
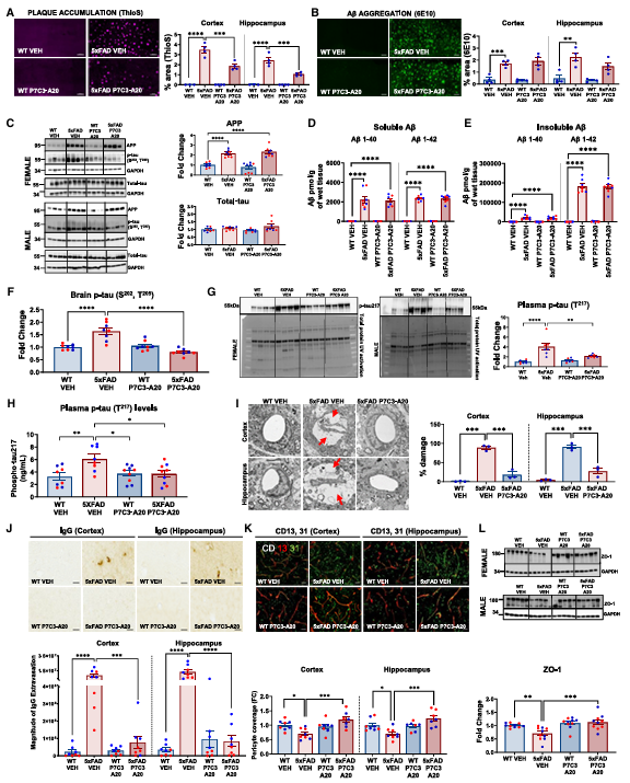
在已出现严重病理和认知缺陷的晚期5xFAD小鼠模型中,P7C3-A20的治疗展现出了惊人的逆转效果!行为层面上,原本受损的新物体识别记忆、空间学习能力及运动协调性,经治疗后均恢复至与健康小鼠相当的水平。
更深入的分析揭示,这种功能恢复背后对应着多重关键病理的显著改善:异常的tau蛋白磷酸化被有效遏制;在透射电镜下,原本破损的血脑屏障结构,包括星形胶质细胞终足和血管周围间隙——可见明显修复,随之而来的是脑组织中免疫球蛋白渗漏的减少;同时,标志性的氧化应激、DNA损伤信号以及神经炎症反应均大幅消退。尤为重要的是,海马脑片的电生理记录证实,几乎丧失的突触可塑性(LTP)也得以完全恢复,从功能层面印证了神经网络的重建。

图: P7C3-A20治疗衰老症状性5xFAD小鼠可逆转淀粉样斑块堆积和血脑屏障恶化
另一个关键的发现是,这种广泛的疗效并非通过直接减少淀粉样前体蛋白(APP)或Aβ肽的生成来实现——它们并未改变,而是显著减少了已形成的、具有病理结构的淀粉样斑块负荷。这有力证明,P7C3-A20的核心作用机制并非简单地清除“致病原料”,而是通过恢复NAD+稳态,全面提升大脑细胞的自我清理能力、修复韧性与整体代谢健康,从而逆转了下游的级联毒性反应。
更重要的是,这一治疗策略在不同疾病驱动模型中均显示普适性。在仅表达突变tau蛋白、濒临死亡的晚期PS19小鼠中,仅仅30天的P7C3-A20治疗就足以显著改善其认知功能,并同步逆转脑内的NAD+稳态失衡、tau蛋白过度磷酸化以及氧化损伤。
那么,这种宏观上的功能与病理逆转,对应着哪些微观的分子机制呢?
通过对治疗后的5xFAD小鼠海马组织进行蛋白质组学分析,并将其与整合了38项独立研究的人类AD大脑蛋白质组数据库进行跨物种比对,研究团队成功绘制出一个关键的“逆转相关蛋白网络”!他们锁定了46个蛋白质,它们在人类和鼠类AD大脑中呈现同方向异常,并在P7C3-A20治疗后同步恢复正常。

图:阿尔茨海默病逆转的分子特征及其与人类数据的相关性
这些蛋白形成了一个清晰的网络,主要涉及:线粒体功能与代谢(如MRPS5, AUH)、蛋白质质量控制与自噬(如SQSTM1/p62, USP10)、RNA加工与翻译(如RPL7A)、突触结构与信号(如部分在结果中显示的蛋白)。
其中17个蛋白在人类AD大脑中的mRNA表达水平也呈现同向改变,包括已知的AD风险基因(如PTK2B)和突触关键蛋白(如ANK3)。这种跨分子层次的一致性,极大地增强了它们作为潜在生物标志物或辅助治疗靶点的可靠性。
小结
回顾这项研究,它带给我们的远不止一个有效的化合物,更是一种颠覆性的治疗思维!研究证明,即使阿尔茨海默病已进入晚期,大脑依然保留着惊人的修复潜力——关键在于恢复其内在的代谢韧性。
研究的四大亮点在此得到了完美印证:通过精准恢复大脑NAD+稳态这一核心机制,药物P7C3-A20能为衰竭的细胞“重启供电系统”,并在多种动物模型中实现了从认知行为到分子网络的全面逆转。更激动人心的是,研究人员在人类患者脑中找到了同样的“治疗节点”,这极大地缩短了实验室发现与临床应用之间的距离。
当然啦,从实验室到临床仍有长路要走,包括在更复杂的散发性AD模型中的验证,以及P7C3-A20或类似药物最终的人体安全性与有效性试验。但这项研究无疑点燃了新的希望,未来我们或许不仅能延缓大脑衰老进程,更有望拨回时钟!
参考文献:
Chaubey K, Vázquez-Rosa E, Tripathi SJ et al. Pharmacologic reversal of advanced Alzheimer's disease in mice and identification of potential therapeutic nodes in human brain. Cell Rep Med. 2025 Dec 22:102535. doi: 10.1016/j.xcrm.2025.102535. Epub ahead of print. PMID: 41435831.